![]() |
![]() |
|
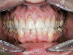
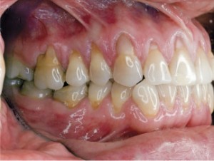
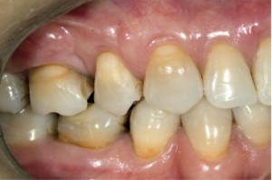
| Pacjentka w wieku 40 lat przed leczeniem. Mnogie (wysokie i szerokie) recesje dziąsła, ryc. 1 | Pacjentka w wieku 40 lat przed leczeniem. Mnogie (wysokie i szerokie) recesje dziąsła, ryc. 2 | |
![]() |
||
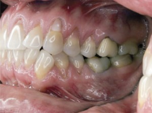
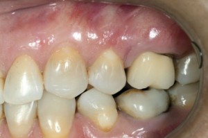
| Pacjentka w wieku 40 lat przed leczeniem. Mnogie (wysokie i szerokie) recesje dziąsła, ryc. 3 | ||
Abstract
The etiology of multiple gingival recession is usually multifactorial and therefore requires interdisciplinary treatment. The paper presents a case of advanced gingival recession in which treatment consisted of orthodontic teeth movement into the alveolar bone envelope and surgical coverage of gingival recession.
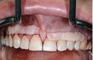
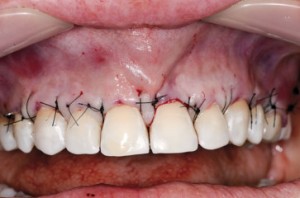
| Zabieg pokrycia recesji w okolicy zębów 16-26 dwoma przeszczepami tkanki łącznej. Przed zabiegiem odbudowano CEJ w tych zębach, w których doszło do jego zniszczenia |
||
![]() |
![]() |
|
| Ryc. 7 | Ryc. 8 | |
Hasła indeksowe: mnogie recesje dziąsłowe, leczenie
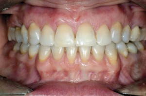
| Status tkanek miękkich po zakończeniu interdyscyplinarnego leczenia ortodontyczno-periodontologicznego | ||
![]() |
![]() |
|
| Ryc. 11 | Ryc. 12 | |
![]() |
||
| Ryc. 13 | ||







