Diagnostyka próchnicy nieubytkowej

W mojej praktyce często leczę pacjentów z tzw. próchnicą nieubytkową i nie ukrywam, że mam problemy diagnostyczne z prawidłowym  rozpoznaniem.  Słyszałem o nowych metodach rozpoznawania próchnicy na powierzchniach stycznych. Które z nich mogą być pomocne w codziennej praktyce lekarza stomatologa?

Dobór koloru wypełnienia w praktyce stomatologicznej

Od wielu lat jestem stomatologiem dziecięcym i bardzo często leczę zęby po urazie. Zawsze mam jednak wątpliwości, gdy wykonuję rekonstrukcję kompozytową zębów przednich, czy dobrze dobrałam kolor wypełnienia. Czy jest może jakaś nowoczesna metoda doboru koloru lub urządzenie, które byłoby pomocne w mojej praktyce?

Jak postąpić w przypadku recesji dziąsłowych?

Zgłosiła się do mnie pacjentka z odsłoniętymi znacznie (ok. 4 mm) szyjkami kłów i zębów przedtrzonowych szczęki od strony przedsionkowej. Powierzchnia korzeni nie jest zmieniona, ale pacjentka skarży się na wrażliwość odsłoniętych powierzchni i ich nieestetyczny wygląd. Czy można je w jakiś sposób pokryć i jakie jest rokowanie w takich przypadkach?

Nietypowa lokalizacja dostępu do jamy zęba

W całej swojej karierze lekarza dentysty, lecząc endodontycznie zęby sieczne dolne, zawsze stwarzałam dostęp do jamy zęba w obrębie powierzchni językowej. Ostatnio dowiedziałam się, że w przypadku tych zębów należy trepanację komory wykonać od strony wargowej, a nie w sposób konwencjonalny – w obrębie powierzchni językowej. Czy rzeczywiście obecnie zaleca się takie postępowanie?

Czy wiertła Gatesa-Gliddena są nadal przydatne podczas leczenia endodontycznego zębów?

Ostatnio w czasie szkolenia dowiedziałam się, że gdy używa się rotacyjnych systemów niklowo-tytanowych podczas opracowywania kanałów korzeniowych, nie ma uzasadnienia stosowanie wierteł Gatesa-Gliddena. Ich funkcję przejęły rotacyjne instrumenty NiTi, używane jako pierwsze do preparacji kanałów. Czy wiertła Gatesa-Gliddena są zatem w ogóle przydatne w leczeniu endodontycznym zębów?

Jak prawidłowo określić długość roboczą kanału z użyciem endometru?

Od kilku lat używam endometru do pomiaru długości roboczej kanału podczas leczenia endodontycznego. Mimo iż staram się opracowywać kanał zgodnie ze wskazaniem endometru, w większości przypadków po wykonaniu zdjęcia rentgenowskiego okazuje się, że przepchnęłam materiał podczas ostatecznego wypełniania kanału. Ponieważ wiem, że w trakcie opracowania wstępnie określona długość robocza może ulec zmianie, tj. może po opracowaniu okazać się krótsza od określonej na początku leczenia, dokonuję zazwyczaj kilkakrotnego pomiaru podczas opracowania kanału, a także bezpośrednio przed wypełnieniem ostatecznym.

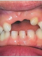
Jak należy postąpić w przypadku wybicia zęba mlecznego?

Zadzwoniła do mnie pacjentka, której 2­letni syn podczas zabawy dokonał ekstrakcji własnego zęba siecznego bocznego szczęki. Ząb został usunięty sznurkiem od żaluzji, który przypadkowo owinął się wokół korony. Ponieważ w dniu urazu nie było możliwe zgłoszenie się z dzieckiem do jakiegokowiek gabinetu stomatologicznego, poprosiłem o zrobienie i przesłanie fotografii zarówno uszkodzonego wyrostka zębodołowego, jak i usuniętego zęba (w załączeniu). Odradziłem zaproponowaną przez matkę replantację zęba i zaleciłem miękką dietę, zimne okłady i jak najszybsze zgłoszenie się do gabinetu w celu przeprowadzenia dokładnego badania. Czy moje postępowanie było właściwe?