SPECJALISTA RADZI: Pacjent z anoreksją

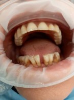
Do mojego gabinetu zgłosiła się 29-letnia kobieta ze zmianami erozyjnymi szkliwa. W wywiadzie pacjentka podała, że od dłuższego czasu przestrzega restrykcyjnej, niskokalorycznej diety i intensywnie uprawia sport. Czy lekarz dentysta może wysnuć podejrzenie anoreksji? Jakie objawy stomatologiczne mogą towarzyszyć temu schorzeniu?

SPECJALISTA RADZI: Nieskuteczna apikotomia wierzchołka korzenia – ponowna resekcja czy powtórne leczenie kanałowe?

Zgłosiła się do mnie 60-letnia pacjentka z nieszczelną i nieestetyczną koroną protetyczną osadzoną na zębie siecznym szczęki. Pacjentka poinformowała, iż ząb był poddany przed laty zabiegowi resekcji. Wykonane zdjęcie potwierdziło wcześniej wykonaną apikotomię oraz obecność niewielkich zmian zapalnych w tkankach okołowierzchołkowych. W kanale stwierdzono dobrze kontrastujący się ćwiek (prawdopodobnie srebrny); w części koronowej kanału był widoczny krótki indywidualny wkład koronowo korzeniowy. Co mogę zasugerować pacjentce? Jakie są możliwości leczenia?